À quel âge poussent les dents de sagesse ?
L’éruption des dents de sagesse peut surprendre, provoquer des douleurs ou rester silencieuse. Et pour beaucoup de familles, une question revient souvent : à quel âge ces fameuses « troisièmes molaires » vont-elles apparaître, si toutefois elles apparaissent ?

Je suis Dr Solène Vo Quang, stomatologue à Paris, spécialisée entre autres dans les dents de sagesse, à la fois dans leur surveillance et dans leur extraction. J’accompagne régulièrement adolescents et jeunes adultes à ce moment particulier où ces dents commencent leur développement ou posent problème. Comprendre le dent de sagesse age d’éruption permet d’anticiper les signes, de rassurer et parfois d’intervenir au bon moment.
Qu’est-ce qu’une dent de sagesse ?
Définition et rôle dans l’arcade dentaire
Les dents de sagesse, aussi appelées troisièmes molaires, sont les dernières dents situées au fond de la bouche, derrière les deuxièmes molaires. Elles apparaissent généralement à l’âge adulte, d’où leur nom. Au total, il peut y en avoir une à chaque extrémité des arcades supérieure et inférieure, soit quatre en tout.
Historiquement, elles avaient un rôle fonctionnel : aider à la mastication de nourritures plus dures ou moins transformées. Aujourd’hui, cette fonction est moins essentielle, surtout dans notre alimentation moderne plus souple, ce qui rend leur présence parfois problématique.
Évolution des dents de sagesse à travers l’histoire
Lorsque l’on observe l’évolution de la mâchoire humaine, on constate qu’elle est devenue plus courte au fil des générations. Ce changement est lié à l’évolution des régimes alimentaires et à la diminution du besoin de broyer des aliments crus ou fibreux.
Conséquence directe : dans beaucoup de cas, il n’y a tout simplement plus assez de place pour que les dents de sagesse puissent sortir normalement. Cela explique pourquoi elles sont aujourd’hui si souvent associées à des complications.
À quel âge apparaissent les dents de sagesse ?
Moyennes d’âge d’éruption selon les études
En moyenne, les dents de sagesse commencent leur éruption entre 17 et 25 ans. Mais il existe une grande variabilité individuelle. Chez certains, elles peuvent émerger dès 15 ans, tandis que d’autres ne les verront jamais sortir.
Ce « a quelle age pousse les dent de sagesse » dépend donc autant de la génétique que des conditions locales au sein de la mâchoire. On observe aussi des différences entre les sexes, l’éruption étant parfois un peu plus précoce chez les femmes.
Facteurs influençant l’âge d’apparition
Plusieurs éléments influencent l’âge d’apparition ou même l’absence totale de ces dents. La génétique joue un rôle clé, tout comme la structure osseuse spécifique à chaque individu. L’environnement nutritionnel pendant l’enfance, l’espace disponible dans la mâchoire ou même certaines origines ethniques peuvent également peser dans la balance.
Dans ma pratique, j’observe par exemple que chez les adolescents ayant eu un traitement orthodontique précoce, l’évaluation de l’espace disponible pour ces molaires est souvent anticipée.
Développement des dents de sagesse : de la formation à l’éruption
Phases de développement des troisièmes molaires
Avant d’être visibles, les dents de sagesse suivent un développement long, souvent silencieux. Elles commencent à se former dans l’os vers l’âge de 10 à 12 ans. Leur couronne se minéralise d’abord, puis la racine se construit progressivement.
L’éruption proprement dite intervient plus tard, lorsque la racine atteint une certaine longueur et que l’os la libère. Ce processus peut toutefois s’interrompre à n’importe quelle phase si les conditions locales ne sont pas favorables.
Pourquoi certaines dents ne sortent jamais
Il arrive fréquemment que les dents de sagesse ne percent jamais la gencive. On parle alors de dents incluses. Cela peut s’expliquer par un manque d’espace, une orientation anormale ou, dans d’autres cas, par une interruption spontanée de leur développement.
Parfois, on ne les découvre qu’à l’occasion d’un examen radiologique, lors d’un bilan orthodontique ou en lien avec une douleur inexpliquée au fond de la mâchoire.
En expliquant les étapes du développement dentaire, je peux mieux accompagner les jeunes adultes dans leurs choix.
Quels sont les signes annonciateurs d’une poussée de dent de sagesse ?
Symptômes fréquents chez les adolescents et jeunes adultes
Lorsqu’une dent de sagesse est sur le point d’émerger, plusieurs symptômes peuvent se manifester. Vous pouvez ressentir une douleur sourde et localisée au fond de la bouche, parfois accompagnée d’une inflammation ou d’une sensation de tension dans la gencive.
Chez certains patients, ces signes passent inaperçus. Chez d’autres, ils peuvent être marqués et prolongés, allant jusqu’à perturber le sommeil ou la mastication.
Différence entre douleur normale et complication
La douleur accompagnant une poussée peut être normale, surtout si elle est modérée et transitoire. En revanche, si elle devient intense, persistante ou s’accompagne de fièvre, d’un gonflement facial ou d’un mauvais goût dans la bouche, cela peut indiquer une infection locale, souvent due à une inflammation de la gencive autour d’une dent à moitié sortie.
Dans ces cas, une consultation est indispensable pour évaluer la situation et éviter que ne s’installe une infection plus sérieuse.
Quels problèmes peut causer une dent de sagesse ?
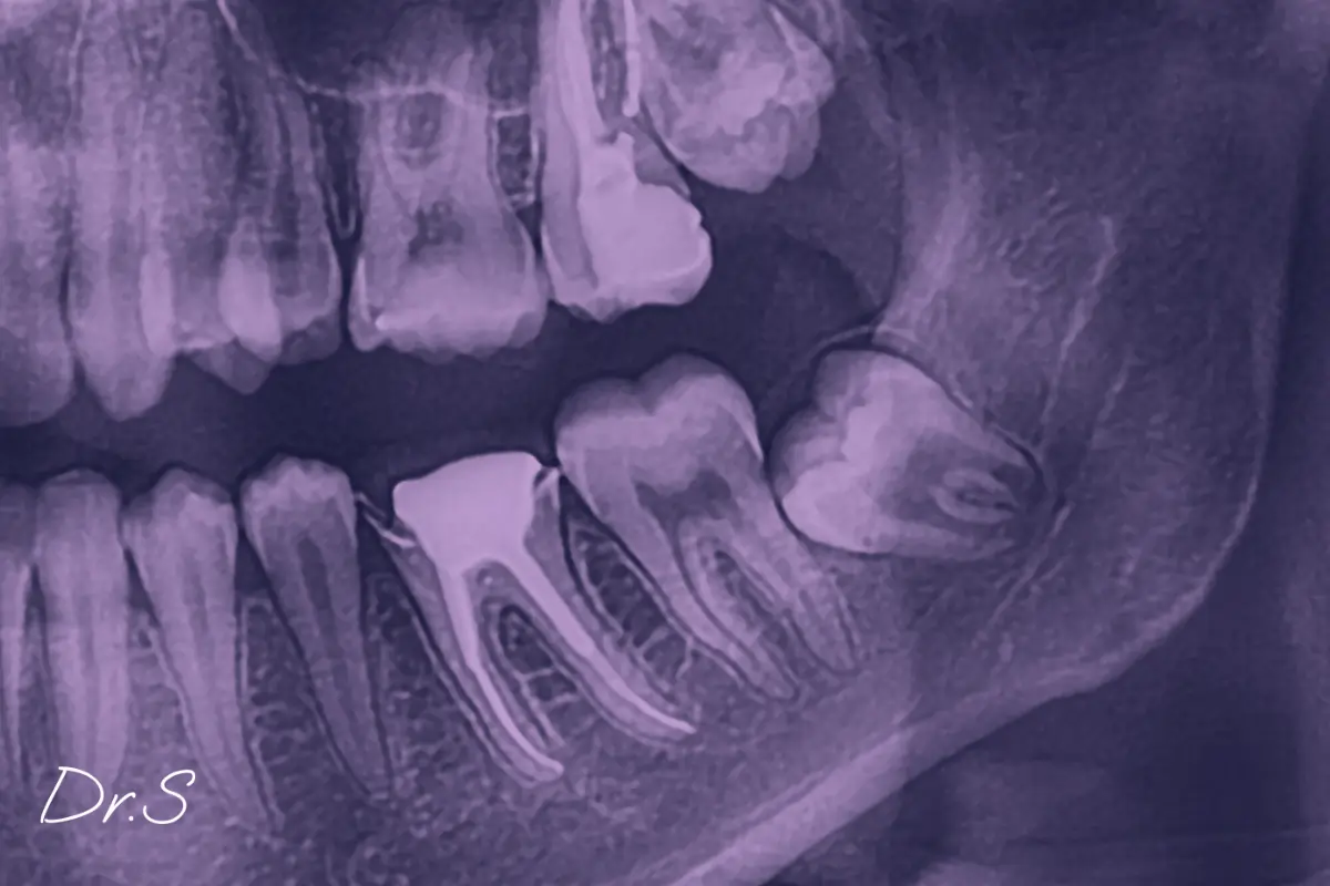
Dents incluses, infections et kystes
Une dent de sagesse incluse peut exercer une pression sur la dent voisine, provoquer des caries cachées, ou être à l’origine de douleurs chroniques. Les infections sont aussi fréquentes lorsqu’une dent reste partiellement sortie, créant une poche propice au développement bactérien.
Plus rarement, certains kystes peuvent se former autour de la dent. Ces lésions doivent être surveillées de près et parfois retirées chirurgicalement.
Quand envisager une extraction
Je recommande une extraction lorsqu’il existe un risque pour la dentition ou la santé générale, comme une douleur récurrente, des infections locales à répétition ou des lésions sur des dents adjacentes.
La décision se discute toujours au cas par cas, sur la base d’un examen clinique et d’une imagerie dentaire précise, en tenant compte de l’état global du patient et de ses antécédents.
L’extraction des dents de sagesse : quel est le bon moment ?
Critères cliniques de décision
Les critères reposent souvent sur l’analyse de l’évolution de la dent, sa position, mais aussi les signes cliniques associés. La radiographie 3D est un outil précieux qui permet de préciser les rapports entre la racine et les nerfs situés à proximité.
Dans ma pratique, j'insiste sur une évaluation complète lors de toute décision d'extraction : comprendre les bénéfices, anticiper les complications éventuelles et planifier un acte chirurgical dans des conditions optimales.
Âge optimal pour une intervention sûre
Les extractions sont souvent mieux tolérées entre 16 et 25 ans, âge où les racines sont formées mais encore peu ancrées dans l’os. Cela minimise les suites chirurgicales.
Au-delà de cet âge, l’intervention reste évidemment possible, mais elle demande parfois plus de vigilance et un suivi postopératoire plus structuré.
Réponses aux questions fréquentes des patients
Mon enfant n’a pas encore de dent de sagesse, est-ce normal ?
Oui, cela peut tout à fait être normal. Certaines dents de sagesse n’apparaissent qu’à partir de 20 ans, d’autres restent incluses toute la vie, et chez certains individus, elles ne se forment tout simplement pas.
Une radiographie panoramique à partir de 16-17 ans peut aider à faire le point sur leur présence ou non, et permettre un suivi raisonné.
Peut-on prévenir les complications liées à la poussée ?
Il n’existe pas de méthode miracle pour empêcher une dent de sagesse de mal pousser. En revanche, je recommande à mes patients une surveillance dentaire régulière dès l’adolescence, avec des radios panoramiques si nécessaire.
Une bonne hygiène bucco-dentaire reste également un facteur de protection important, notamment pour éviter les infections autour de dents partiellement sorties.
Quel est l’impact orthodontique des dents de sagesse ?
Influence sur l’alignement dentaire chez les jeunes
C’est une question souvent posée après un traitement orthodontique : les dents de sagesse vont-elles déplacer les dents alignées ? En réalité, ce n’est pas systématique. La poussée peut parfois exercer une pression qui favorise des mouvements dentaires, surtout en cas de manque d’espace.
Mais il faut nuancer : d’autres facteurs influencent également la stabilité du résultat orthodontique, comme le port ou non de contentions, et la forme des arcades.
Collaboration entre orthodontiste et chirurgien-dentiste
Dans de nombreux cas, je travaille en lien étroit avec des orthodontistes pour planifier de façon conjointe la surveillance ou l’extraction des troisièmes molaires. Cela permet d’anticiper des risques et d’éviter des interventions inutiles.
Ce dialogue interprofessionnel est essentiel pour construire une prise en charge individualisée et respectueuse du parcours du patient.
Que faire après l’éruption ou l’extraction d’une dent de sagesse ?
Précautions à prendre après l’extraction
Après une extraction, quelques précautions simples permettent de favoriser la cicatrisation. Il est important d’éviter les bains de bouche dans les premières 24 heures, de ne pas fumer, et de privilégier une alimentation tiède et molle pendant quelques jours.
Je propose toujours un suivi postopératoire à mes patients, afin de répondre à leurs interrogations et de vérifier que la cicatrisation suit son cours habituel.
Surveillance à long terme pour les dents non extraites
Lorsqu’on choisit de laisser une dent de sagesse en place, une surveillance régulière est indispensable, même si elle n’a pas encore donné de signes. Cette surveillance repose sur des contrôles cliniques et radiographiques périodiques.
Elle permet d’anticiper une complication éventuelle, de vérifier que la dent ne devient pas un foyer infectieux silencieux ou qu’elle ne désorganise pas la mécanique de mastication.
Mieux connaître le dent de sagesse age d’éruption, c’est se donner la possibilité d’agir au bon moment. Toutes les dents de sagesse ne posent pas problème, mais toutes méritent d’être regardées avec attention. Car derrière une douleur ou une gêne passagère se cachent parfois des enjeux plus profonds : équilibre dentaire, santé générale et qualité de vie à long terme.
La chirurgie au service du patient à Paris

Je suis Dr Solène Vo Quang.
J’explore chaque jour ce que l’IA peut apporter au soin… sans jamais oublier que la relation reste notre premier outil thérapeutique.
Je vous accompagne avec rigueur et transparence.
FAQ —
Les Dents de Sagesses
On répond à vos questions
Existe-t-il une fenêtre d’âge « normale » pour l’éruption des dents de sagesse ?
Généralement entre 17 et 25 ans, mais cette période peut varier selon des facteurs génétiques, environnementaux ou de développement osseux.
L’absence d’éruption à l’âge adulte signifie-t-elle toujours un problème ?
Non. Certaines dents restent incluses sans poser de problème. Un bilan radiologique permet d’évaluer leur position et les risques éventuels.
Les dents de sagesse peuvent-elles percer après 30 ans ?
C’est rare, mais possible. Une éruption tardive peut survenir, notamment si l’os mandibulaire évolue ou si une dent commence à migrer.
Y a-t-il des marqueurs précoces de leur développement avant leur apparition ?
Oui, l’imagerie 3D ou panoramique dès l’adolescence permet souvent d’observer leur formation bien avant toute éruption visible.
